Koronavirüse yakalanan 8 yaşındaki ABD’li çocuk son derece nadir görülen bir durumla karşı karşıya kaldı.
The Mirror gazetesinde yer alan habere göre, Braun koronavirüs nadir görülen oto-bağışıklık hastalığını tetikledikten sonra felç kaldı.

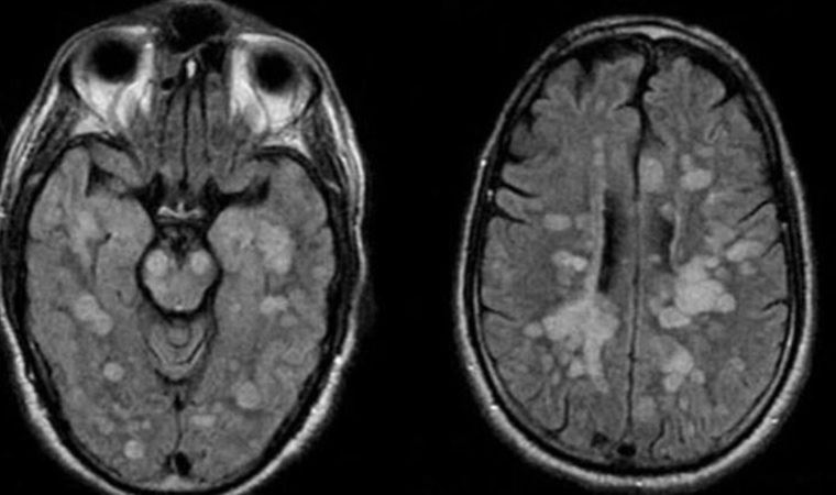
‘ADEM’ TEŞHİSİ KONULDU
Talihsiz çocuğa vücudun bağışıklık sistemi kendisine saldırarak omurilik ve beynin şişmesine neden olan nadir bir akut yayılmış Ensefalit (ADEM) teşhisi koyuldu.
Avella’nın doktoru Dr. Michael Pitt, “Bu vakada yaşananların en büyük tetikleyicisi koronavirüs olmuştur” dedi.
Braun’un Akut dissemine ensefalomyelit (ADEM) santral sinir sisteminin immun aracılıklı bir bozukluğuna yakalandığı bildirildi.
Tıp uzmanları, Haziran ayında koronavirüs ve ADEM arasındaki bağlantıyı kurmaya başladıklarını açıklamıştı.
Uzmanlar, dünyada, koronavirüs atlatan kişilerde benzer vakalara rastladıkları konusunda uyarıyor.
















